年富力強的小劉,剛過40歲,最近卻連爬樓梯都成了難題,心慌氣短,甚至有瀕死感。作為家中的頂梁柱,上有老下有小,他不敢大意,急忙來到鄭大五附院心血管內科二病區就診。梁雪主任為他安排了心臟彩超,結果提示心臟室壁明顯增厚,考慮為肥厚型心肌病。隨后,一項關鍵的檢查——心臟負荷/激發超聲心動圖,最終診斷小劉為 “隱匿性梗阻型肥厚型心肌病” 。
一、什么是肥厚型心肌病?
它為何危險?
肥厚型心肌病,可以簡單理解為心臟肌肉(主要是左心室)在無明顯原因下異常增厚。這本該增強心臟力量,卻可能帶來兩大問題:
心臟空間變小:厚實的肌肉擠壓了泵血空間,導致每次搏出的血液減少。
可能造成“堵塞”:增厚的心肌(尤其是室間隔)在收縮時,可能推擠二尖瓣這個“單向閥門”,使其在心臟泵血的流出道上形成“擋板”,造成血流通道梗阻。這就像水管里長了個疙瘩,水流不暢。
這種 “左心室流出道梗阻”,正是導致患者胸悶、氣短、頭暈、暈厥甚至猝死的主要原因。
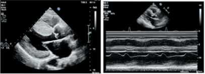
肥厚的左心室壁
二尖瓣運動曲線
左室流出道彩色血流
左室流出道血流速度
二、“隱匿性梗阻”:
平靜下的致命隱患
有些肥厚型心肌病非常“狡猾”。在平靜狀態下做普通心臟超聲,血流速度正常,看不出明顯梗阻,可能被歸為“非梗阻性”。然而,危險就潛伏于此!
當劇烈運動、情緒激動、用力時,心臟收縮力增強,那個“擋板”效應就可能突然出現或加劇,導致流出道瞬間狹窄,血流受阻,血壓驟降,引發嚴重癥狀甚至猝死。
如何揪出這個“隱形殺手”?
答案就是心臟超聲激發試驗。
三、心臟超聲激發試驗:
如何“逼”出隱藏的梗阻?
這項檢查的核心,是在嚴密的醫療監護下,安全地模擬心臟高負荷狀態,同時用超聲實時觀測心臟變化。
檢查如何“激發”?
基礎準備:如同常規心臟彩超,先記錄靜息時的心臟數據和血流速度。
關鍵激發:通過安全方式增加心臟負荷。常用方法包括:
①簡易激發(如Valsalva激發、蹲起激發):Valsalva激發試驗無侵入性且操作簡便,是HCM患者檢測LVOTG常用的方法之一,目標導向Valsalva對于隱匿性梗阻檢出率接近運動負荷。
目標導向Valsalva
設備
目標導向Valsalva
操作過程
②運動激發(如踏車運動、平板運動):是目前推薦的較準確的負荷試驗方法。但是在運動中圖像采集困難,較難做到連續觀測。
③藥物激發(亞硝酸異戊脂吸入):患者大劑量吸入亞硝酸異戊脂后可出現顏面潮紅、搏動性頭痛、心動過速等不良反應。因此,目前臨床不推薦藥物作為首選的負荷試驗方法。
實時監測:醫生會全程緊盯屏幕,測量關鍵指標——左心室流出道壓力階差(LVOTG),即血流通過狹窄處的壓力差。
判斷標準:
梗阻性:靜息時LVOTG ≥ 30 mmHg。
隱匿梗阻性:靜息時LVOTG < 30 mmHg,但激發后 ≥ 30 mmHg。
非梗阻性:靜息及激發后LVOTG均 < 30 mmHg。
重度梗阻:靜息或激發后LVOTG ≥ 50 mmHg,需特別關注。
四、這項檢查為何至關重要?
激發試驗的結果,是制定精準治療方案的 “決策基石”:
明確診斷:為有癥狀(如不明原因暈厥)但靜息超聲正常的患者提供確診依據。
風險評估:識別出猝死高風險人群,需要更嚴密監控。
指導治療:
若無梗阻,治療以控制癥狀為主(如使用β受體阻滯劑)。
若存在(隱匿性)梗阻且壓差高,則需考慮更具針對性的治療,如外科室間隔心肌切除術或酒精室間隔消融術,從根本上解除梗阻。
評估療效:用于評估藥物或手術是否真正解除了梗阻。
五、做這個檢查安全嗎?
整體而言,該檢查安全性較高,嚴重并發癥(如死亡、心臟驟停)極為罕見。醫生會嚴格評估,確保適合進行檢查。

