
“我每年都體檢都有結節,但是最近這個脖子凸起來一塊,心里還是有點害怕。”在鄭州人民醫院普通外二科(甲狀腺)診室中,張先生(化名)說出自己的擔心。

其實
43歲的張先生年年都體檢
只是之前結節沒這么大
自己又覺得對生活沒啥影響
于是
也就沒放心上
就在這幾個月
脖子腫了起來
自己才開始重視起來
身邊的家人朋友也都勸他
到醫院進一步檢查看看
這一查把張先生自己也嚇著了
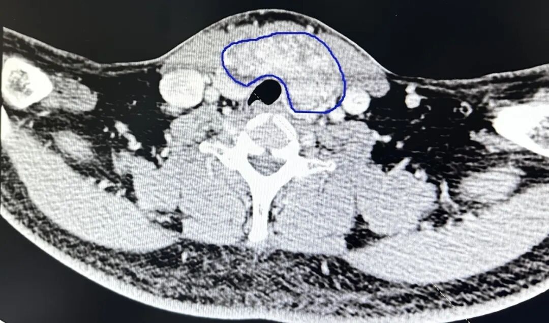
自己甲狀腺峽部的腫塊
達到了6.5厘米

而且腫塊緊緊的包圍著
頸部的神經和血管
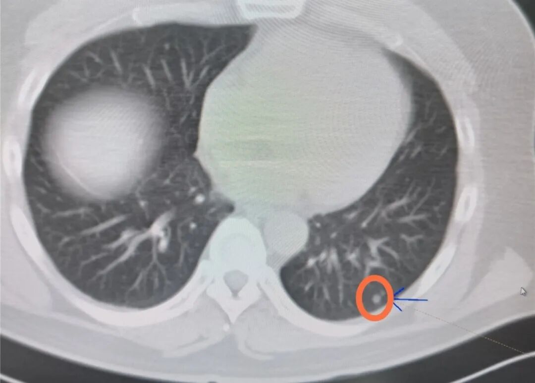
最要命的是
甲狀腺腫瘤已經出現了肺轉移

一項項檢查如同
一記記鐵拳砸在張先生及家人心上
“咱們既然來了,就安心治療,有問題咱就解決,總會找到辦法。”鄭州人民醫院普通外二科(甲狀腺)副主任余江濤一邊安慰張先生,一邊和團隊一起為他制定手術治療方案。
普通外二科(甲狀腺)主治醫師霍青峰解釋,這個區域解剖結構錯綜復雜,重要血管縱橫交錯,還有控制發音、吞咽的神經,而這些又被腫瘤緊緊包圍,手術時稍有不慎,可能對患者后續的康復產生不可逆的影響。
在與張先生及其家人充分溝通后
一切準備就緒
手術開始
余江濤主任帶領團隊
仔細剝離血管、神經
既保證了甲狀腺腫瘤的完整切除
又保護了細如發絲的神經

由于頸部已經出現了淋巴結轉移
除了切除甲狀腺腫瘤
醫生還對頸部進行了“大掃除”
經過6個小時
手術順利結束
最終病理結果顯示
張先生為
甲狀腺乳頭狀癌

再次在病房中見到張先生,他告訴小編,自己應該早點來治療,不該一拖再拖,現在已經接受了手術,這幾天恢復得還不錯,之后自己會積極配合醫生進行下一步的治療。也想提醒,有類似疾病的朋友,千萬不要拖。
在溝通中,張先生也坦言,自己經常熬夜,有時候工作壓力大,加上自己喝酒抽煙,這些不良的生活習慣,可能也加速了自己病情發展。

對此,余江濤主任解釋,甲狀腺作為人體重要的內分泌腺體,負責調節新陳代謝、生長發育和體溫等關鍵功能,是會受到生活方式和外界壓力的干擾。像張先生這些不良習慣,會從內分泌調節、免疫攻擊等多個層面,嚴重威脅甲狀腺的健康與穩定。因此改善這些不良習慣,是預防和管理甲狀腺疾病最基礎、最有效的一環。
預防甲狀腺癌
你還可以這么做!
學會自查
具體方法:對著鏡子觀察,看頸部兩側是否對稱、腫大;也可含一口水,用手指觸摸頸部下方,將水吞下去看頸部是否有突出的小腫塊。
定期體檢
特別是以下高風險人群:頸部外照射史或碘131治療史、甲狀腺手術和甲狀腺功能異常史、自身免疫甲狀腺疾病家族史;患有其他自身免疫性疾病;血脂異常、高血壓、糖尿病等代謝性疾病等。

注意這些:
均衡飲食,保持情緒穩定,戒煙限酒,作息規律,適度運動。
甲狀腺癌不是絕癥
但也不是可以忽視的“小問題”
早發現、早診斷、早治療
切勿拖延
將小問題拖成大麻煩
本期頭圖

END

聲明:本文僅作健康科普,不用于任何商業廣告目的,且不提供診療建議,也不能替代醫院的檢查和治療。如有相關疾病,請及時去正規醫療機構就診,謹遵醫囑。


