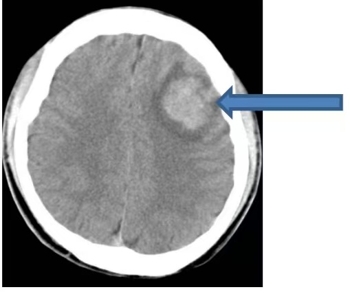
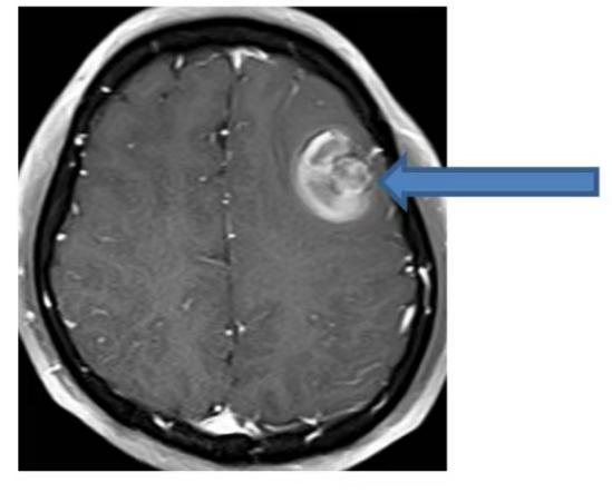
在今年的出院隨訪工作中,我們遇到了這樣一個病例:一位此前被診斷為“顱內海綿狀血管瘤”的年輕人,因癲癇再次發作接受了外科手術,切除了導致癲癇的病灶。這個致癲灶就是導致癲癇發作的“隱形推手”——顱內海綿狀血管瘤。以下通過這個病例,我們逐步揭開“顱內海綿狀血管瘤”的神秘面紗。 這位20歲的小伙在吃飯時突發肢體抽搐、意識喪失、跌倒,意識轉清后完善頭CT發現“左側額葉出血”。當時我們懷疑是瘤卒中,也就是說,小伙顱內長有一個腫瘤,且出血局限于腫瘤內部(如下圖CT所示)。 為了進一步明確腫瘤性質,隨后進行的磁共振檢查顯示:腦內存在多發異常信號影,影像科考慮為多發海綿狀血管瘤。這并非傳統意義上的實質性腫瘤,海綿狀血管瘤是一種血管畸形。在這些血管瘤中,最大的一個位于額葉,且內部發生了出血(如下圖所示)。 最后又完善了磁共振增強檢查,考慮左側額葉血管畸形伴出血(如下圖)。 經省內專家會診,最終診斷:顱內海綿狀血管瘤,并建議使用抗癲癇藥物。 下面,我們來簡單了解一下海綿狀血管瘤: 一 什么是海綿狀血管瘤(CMs) 中樞神經系統海綿狀血管瘤(CMs)是一種先天性血管畸形,分為家族遺傳病例和散發病例。其在顱內血管畸形中占比10%-25%,僅次于腦動靜脈畸形。CMs具有一定的生長能力,在對家族型腦內CMs病例的定期隨訪中發現,每個病例每年可能新增0.4 - 2.7個腦內CMs病灶。 家族遺傳型病例與基因突變相關,散發病例可能與放射線、外傷、顱內感染等外界誘發因素有關。 二 CMs的臨床表現 最常見的臨床表現為癲癇、腦內出血和無近期出血影像學證據的局灶性神經功能缺損。還有20%-50%的腦內CMs屬于無癥狀性,常因腦磁共振的廣泛應用而被偶然發現。 三 CMs的影像學診斷 CMs在CT上表現為邊界清楚的圓形或類圓形的高密度影。CT對體積較小的腦內CMs不敏感,并非腦內CMs最好的檢查手段,臨床上更適合用于急性血腫、占位效應和腦積水的緊急診斷。但反復CT檢查的電離輻射存在促進增加新發腦內CMs的風險,所以當CT初步懷疑腦內CMs后即應進行MRI檢查,且在隨訪觀察中繼續選擇磁共振。 MRI對腦內CMs的檢出敏感性極高,且無創,被推薦為首選的影像學檢查方法,能夠顯示常規序列無法顯示的微小病灶。 DSA檢查中CMs病灶一般不顯影,故DSA在腦內CMs診斷中的作用非常有限。 四 顱內海綿狀血管瘤的治療 外科手術治療 外科手術被認為是腦內CMs最有效的治療方式,但手術切除的指征,仍存在爭議。對于無癥狀的腦內CMs,尤其位于功能區、深部或腦干的無癥狀病灶,一般主張采取保守治療。 手術是控制癲癇發作最有效的方式,可優先考慮手術切除病灶及周圍含鐵血黃素沉積帶;若單藥治療無法控制癲癇發作,也可考慮手術。 立體定向放射外科治療 立體定向放射外科可作為一種治療選擇,應用于功能區、腦深部及腦干癥狀性腦內CMs;無癥狀的和易于手術的癥狀性腦內CMs,均不建議選擇。 內科處理 顱內海綿狀血管瘤相關性癲癇的藥物控制率可達到50%-60%,因此患者一旦確診,即需開始使用抗癲癇藥,同時要注意避免易誘發癲癇的藥物和活動。 腦內CMs相關頭痛的發生率可能高達52%。對于同時患有腦內CMs且符合偏頭痛診斷標準的患者,建議進行標準的偏頭痛治療,非甾體類抗炎藥是安全有效的選擇。 特殊群體顱內CMs的管理 通常情況下,腦內CMs患者是可以選擇妊娠的,但需要進行遺傳咨詢,對于CMs相關性癲癇患者需要調整抗癲癇藥物以降低致畸風險。 10歲以下兒童更容易因輻射誘發新生腦內CMs,所以應盡可能避免反復CT和X線檢查。


(開封市人民醫院)


